Senin, 23 Februari 2009

Pneumotoraks

Pneumotoraks adalah adanya udara dalam rongga pleura yang diagnosis diyakinkan dengan pemeriksaan sinar tembus dada(1). Dimana diagnosis pneumotoraks tergantung kepada garis yang dibentuk pleura pada tepi paru-paru yang memisahkan dengan dinding dada, mediastinum atau diafragma oleh udara, dan juga tidak adanya bayangan di luar garis ini(5).

Pneumotoraks berhubungan dengan berbagai macam kelainan paru meliputi emfisema, trauma, tuberculosis(5).

2.1. Definisi

Pneumotoraks adalah keadaan dimana terdapat udara atau gas dalam rongga pleura. Dalam keadaan normal rongga pleura tidak berisi udara, supaya paru-paru leluasa mengembang terhadap rongga thoraks(1).

Masuknya udara ke dalam rongga pleura dibedakan atas: (2)

1. Pneumotoraks spontan: Timbul sobekan subpleura dari bulla sehingga udara dalam rongga pleura melalui suatu lubang robekan atau katup. Keadaan ini dapat terjadi berulang kali dan sering menjadi keadaan yang kronis. Penyebab lain ialah suatu trauma tertutup terhadap dinding dan fistula bronkopleural akibat neoplasma atau inflamasi.

2. Udara lingkungan luar masuk ke dalam rongga pleura melalui luka tusuk atau pneumotoraks disengaja (artificial) dengan terapi dalam hal pengeluaran atau pengecilan kavitas proses spesifik yang sekarang tidak dilakukan lagi. Tujuan pneumotoraks sengaja lainnya ialah diagnostik untuk membedakan massa apakah berasal dari pleura atau jaringan paru. Penyebab-penyebab lain ialah akibat tindakan biopsi paru dan pengeluaran cairan rongga pleura.

3. Masuknya udara melalui mediastinum yang biasanya disebabkan trauma pada trakea atau esophagus akibat tindakan pemeriksaan dengan alat-alat (endoskopi) atau benda asing tajam yang tertelan. Keganasan dalam mediastinum dapat pula mengakibatkan udara dalam rongga pleura melalui fistula antara saluran nafas proksimal dengan rongga pleura.

4. Udara berasal dari subdiafragma dengan robekan lambung akibat suatu trauma atau abses subdiafragma dengan kuman pembentuk gas.

Pneumotoraks dapat juga dibagi atas: (4)

1. Pneumotoraks Terbuka: Gangguan pada dinding dada berupa hubungan langsung antara ruang pleura dan lingkungan atau terbentuk saluran terbuka yang dapat menyebabkan udara dapat keluar masuk dengan bebas ke rongga pleura selama proses respirasi.

2. Pneumotoraks Tertutup: Misal terdapat robekan pada pleura viseralis dan paru atau jalan nafas atau esofagus, sehingga masuk vakum pleura karena tekanan vakum pleura negatif.

3. Pneumotoraks Valvular: Jika udara dapat masuk ke dalam paru pada proses inspirasi tetapi tidak dapat keluar paru ketika proses ekspirasi. Akibat hal ini dapat terjadi peningkatan tekanan intrapleural. Karena tekanan intrapleural meningkat maka dapat terjadi tension pneumotoraks.

2.2. Gejala Klinis

Adanya keluhan-keluhan dan gejala-gejala klinis pneumotoraks amat tergantung pada besarnya lesi pneumotoraks dan ada tidaknya komplikasi penyakit paru. Beberapa pasien menunjukkan keadaan asimtomatik dan kelainan hanya dapat ditemukan pada pemeriksaan foto dada rutin. Pada beberapa kasus, pneumotoraks terluput dari pengamatan(1).

Gejala yang utama adalah berupa rasa sakit yang tiba-tiba dan bersifat unilateral serta diikuti sesak nafas. Kelainan ini ditemukan pada 80-90% kasus. Gejala-gejala ini lebih mudah ditemukan bila penderita melakukan aktivitas berat. Tetapi pada sebagian kasus, gejala-gejala masih gampang ditemukan pada aktivitas biasa atau waktu istirahat(1).

Rasa sakit tidak selalu timbul. Rasa sakit ini bisa menghebat atau menetap bila terjadi perlengketan antara pleura viseralis dan pleura parietalis. Suatu waktu perlengketan ini bisa sobek pada tekanan kuat dari pneumotoraks, sehingga terjadi perdarahan intrapleura (hemato- pneumotoraks)(1).

Kadang-kadang gejala klinis dapat ditemukan walaupun kelainan pneumotoraksnya sedikit, misalnya perkusi yang hipersonar, fremitus yang melemah sampai menghilang, suara nafas yang melemah sampai menghilang pada sisi yang sakit(1).

Pada lesi yang lebih besar atau pada tension pneumotoraks, trakea dan mediastinum dapat terdorong ke sisi kontralateral. Diafragma tertekan ke bawah, gerakan pernafasan tertinggal pada sisi yang sakit. Fungsi respirasi menurun, terjadi hipoksemia arterial dan curah jantung menurun(1).

Kebanyakan pneumotoraks terjadi pada sisi kanan (53%), sedangkan sisi kiri (45%) dan bilateral hanya 2%. Hampir 25% dari pneumotoraks spontan berkembang menjadi hidropneumotoraks(1).

Disamping keluhan-keluhan dan gejala-gejala klinis tersebut di atas, diagnosis lebih meyakinkan lagi dengan pemeriksaan sinar tembus dada(1).

2.3. Gambaran Radiologis

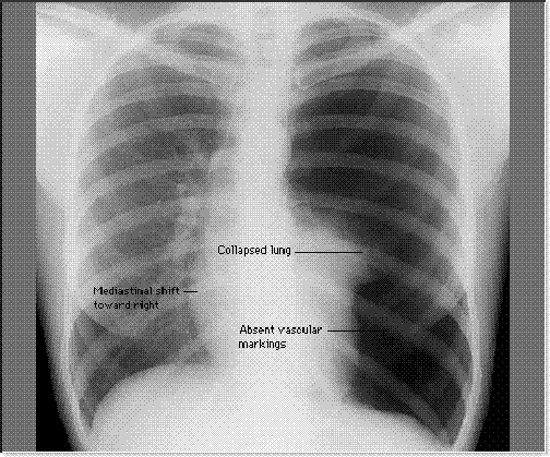
Bayangan udara dalam rongga pleura memberikan bayangan radiolusen yang tanpa struktur jaringan paru (avascular pattern) dengan batas paru berupa garis radioopak tipis yang berasal dari pleura visceral (gambar 1 dan 2)(2).

Gambar 1.

clip_image001

Gambar 2.

clip_image003

Pada foto terlihat bayangan udara dari pneumotoraks yang berbentuk cembung, yang memisahkan pleura parietalis dengan pleura viseralis. Bila pneumotoraksnya tidak begitu besar, foto dengan pernafasan dalam (inspirasi penuh) pun tidak akan menunjukkan kelainan yang jelas. Dalam hal ini dianjurkan membuat foto dada dengan inspirasi dan ekspirasi penuh. Selama ekspirasi maksimal udara dalam rongga pleura lebih didorong ke apeks, sehingga rongga intrapleura di apeks jadi lebih besar. Selain itu terdapat perbedaan densitas antara jaringan paru dan udara intrapleura sehingga memudahkan dalam melihat pneumotoraks, yakni kenaikan densitas jaringan paru selama ekspirasi tapi tidak menaikkan densitas pneumotoraks(1).

Suatu hasil rontgen diperoleh sehabis ekspirasi maksimum akan membantu dalam menetapkan diagnosa, sebab paru-paru kemudian secara relatif lebih tebal/padat dibanding pneumotoraks itu. Penurunan volume paru terjadi sehabis ekspirasi tetapi ruang pneumotoraks tidak berubah. Oleh karena itu secara relatif pneumotoraks lebih berhubungan dengan apru-paru sehabis ekspirasi dibanding inspirasi dan kiranya pleura viseral lebih kecil berhubungan dengan pneumotoraks. Sehingga lebih mudah untuk menggambarkannya.

Foto lateral decubitus pada sisa yang sehat dapat membantu dalam membedakan pneumotoraks dengan kista atau bulla. Pada pneumotoraks udara bebas dalam rongga pleura lebih cenderung berkumpul pada bagian atas sisi lateral(1).

Jika pneumotoraks luas, akan menekan jaringan paru ke arah hilus atau paru menjadi kuncup/kolaps di daerah hilus dan mendorong mediastinum ke arah kontralateral. Selain itu sela iga menjadi lebih lebar(2). Udara dalam ruang pleura jadi lebih radiolusen dibandingkan paru-paru yang bersebelahan dengan pneumotoraks tersebut, terutama sekali jika paru-paru berkurang volumenya, dimampatkan atau terkena penyakit yang meningkatkan kepadatan paru-paru(3).

Ketika pneumotoraks terjadi pada pasien dengan atelektase lobus, udara terkumpul dalam ruangan pleura yang dekat dengan paru-paru yang mengempis. Oleh karena itu distribusi udara yang tidak normal pada pasien ini menyebabkan pengempisan lobus. Pada tension pneumotoraks pergeseran dari struktur mediastinal kesan pada paru dan kesan pada diafragma sudah terlihat. Ketika kehadiran cairan sebagai tambahan dari udara atau gas pada film dengan cahaya horisontal memperlihatkan tingkat atau batas udara dengan cairan. Ketika udara intrapleura terperangkap pada posisi yang tidak biasa oleh karena penggabungan kadang-kadang pneumotoraks bisa terlihat pada subpulmonary, terutama pada pasien COPD (Chronic Pulmonary Obstruktif Disease) dan penurunan dari fungsi paru dan juga diobservasi sepanjang permukaan tenagh dari paru bayi yang baru lahir sering diperiksa dengan posisi terlentang. Dalam situasi ini harus dibedakan dengan pneumomediastinum. Ketika garis sambungan depan terlihat pada neonatus, yang mengindikasikan pneumotoraks bilateral, karena garis ini biasanya tidak terlihat pada pasien. Pada bayi neonatus pneumotoraks dapat dievaluasi dengan foto anteroposterior atau lateral pada saat yang sama(3).

Pada orang dewasa yang sakit kritis diuji dengan posisi setengah duduk atau terlentang, udara dalam ruang pleura mungkin nampak anteromedial sepanjang medistinum, pada suatu posisi subpulmonary, pada posisi apicolateral atau posteromedial dalam area paraspinal. Udara mungkin dapat diamati dalam celah interlobus, terutama sekali di dalam celah kecil sisi kanan pneumotoraks. Tanda cekungan yang dalam diuraikan oleh Gordon pada foto posisi terlentang pada pasien pneumotoraks. Foto ini terdiri dari radiolusen yang relatif pada kedalaman sulcus costophrenicus samping yang menandakan udara dalam area ini(3).

Hasil diagnosa mungkin tidak dapat terlihat dalam foto polos. Oleh karena itu, CT dapat digunakan jika informasi mengenai kehadiran atau ketidakhadiran pneumothoraks adalah hal yang sangat penting, karena pneumothoraks relatif lebih mudah dideteksi pada CT sesuai potongan aksis(3).

Secara ringkas, hasil dianogsa pneumothorax mungkin sulit untuk dibuat dalam pemeriksaan hasil radiografi dada. Terutama sekali pada foto pasien dalam posisi terlentang, proyeksi samping mungkin bisa untuk ,mengkonfirmasikan kehadiran pneumothoraks manakala proyeksi dari depan samar-samar. Ketika pneumothoraks kecil foto pada saat inspirasi seringkali berharga; dan ada kalanya, ketika lokasi pneumothoraks disekeliling hadir, foto oblique dan foto lateral diperlukan untuk visualisasi yang nyata. Adakalanya lingkaran radioopak ditemukan pada hilus atau dibawah pada pasien pneumothoraks yang besar atau luas(3).

2.4. Komplikasi Pneumothoraks

1. Tension Pneumothoraks atau Pneumothoraks Ventiel : komplikasi ini terjadi karena tekanan dalam rongga pleura meningkat sehingga paru mengempis lebih hebat, mediastinum tergeser kesisi lain dan mempengaruhi aliran darah vena ke atrium kanan. Pada foto sinar tembus dada terlihat mediastinum terdorong kearah kontralateral dan diafragma tertekan kebawah sehingga menimbulkan rasa sakit.(3). Keadaan ini dapat mengakibatkan fungsi pernafasan sangat terganggu yang harus segera ditangani kalau tidak akan berakibat fatal(2).

2. Pio-pneumothoraks : terdapatnya pneumothoraks disertai empiema secara bersamaan pada satu sisi paru. Infeksinya berasal dari mikro-organisme yang membentuk gas atau dari robekan septik jaringan paru atau esofagus kearah rongga pleura.

3. Hidro-pneumothoraks/hemo-pneumothoraks: pada kurang lebih 25% penderita pneumothoraks ditemukan juga sedikit cairan dalam pleuranya. Cairan ini biasanya bersifat serosa, serosanguinea atau kemerahan (berdarah). Hidrothorak dapat timbul dengan cepat setelah terjadinya pneumothoraks pada kasus-kasus trauma/perdarahan intrapleura atau perfosari esofagus (cairan lambung masuk kedalam rongga pleura).

4. Pneumomediastinum dan emfisema subkutan : Pneumomediastinum dapat ditegakkan dengan pemeriksaan foto dada. Insidennya adalah 15 dari seluruh pneumothoraks. Kelainan ini dimulai robeknya alveoli kedalam jaringan interstitium paru dan kemungkinan diikuti oleh pergerakan udara yang progresif ke arah mediastinum (menimbulkan pneumomediastinum) dan kearah lapisan fasia otot-otot leher (menimbulkan emfisema subkutan).

5. Pneumothoraks simultan bilateral: Pneumothoraks yang terjadi pada kedua paru secara serentak ini terdapat pada 2% dari seluruh pneumothoraks. Keadaan ini timbul sebagai lanjutan pneumomediastinum yang secara sekunder berasal dari emfisem jaringan enterstitiel paru. Sebab lain bisa juga dari emfisem mediastinum yang berasal dari perforasi esofagus.

6. Pneumothoraks kronik: Menetap selama lebih dari 3 bulan. Terjadi bila fistula bronko-pleura tetap membuka. Insidensi pneumothoraks kronik dengan fistula bronkopleura ini adalah 5 % dari seluruh pneumothoraks. Faktor penyebab antara lain adanya perlengketan pleura yang menyebabkan robekan paru tetap terbuka, adanya fistula bronkopelura yang melalui bulla atau kista, adanya fistula bronko-pleura yang melalui lesi penyakit seperti nodul reumatoid atau tuberkuloma.

Pneumotoraks adalah adanya udara dalam rongga pleura yang diagnosis diyakinkan dengan pemeriksaan sinar tembus dada(1). Dimana diagnosis pneumotoraks tergantung kepada garis yang dibentuk pleura pada tepi paru-paru yang memisahkan dengan dinding dada, mediastinum atau diafragma oleh udara, dan juga tidak adanya bayangan di luar garis ini(5).

Pneumotoraks berhubungan dengan berbagai macam kelainan paru meliputi emfisema, trauma, tuberculosis(5).

Kesimpulan

Bayangan udara dalam rongga pleura memberikan bayangan radiolusen yang tanpa struktur jaringan paru dengan batas paru berupa garis radioopak tipis berasal dari pleura viresal.

Jika pneumothoraks luas, akan menekan jaringan paru ke arah hilus atau paru menjadi kuncup/kolaps di daerah hilus mendorong mediastinum ke arah kontralateral. Selain itu juga iga lebih lebar.

Apabila udara terkumpul dalam rongga pleura dan tidak dapat keluar maka akan mendesak mediastinum kearah paru yang sehat (kearah kontralateral).

DAFTAR PUSTAKA

1. Asril Bahar, 1999, Penyakit-penyakit Pleura, Buku Ajar Penyakit Dalam, Jilid II, Balai Penerbit FKUI, Jakarta.

1. Kahar Kusumawidjaja, 2000, Pleura dan Mediastinum, Radiologi diagnositik, Balai Penerbit FKUI, Jakarta.

2. Joten H.J., Andrew B.C., 1993, Essentials of Radiologic Imaging, Ed. 6, Paul and Juhl, Clippincott-Raven, Philadelphia.

3. David Sutton, 1987, A Textbook of Radiology and Imaging, Ed. 4, Churchill Livingstone, Edinburgh, london, Melbourne and New York.

4. Peter Amstrong, Martin L.W., 1986, X-Ray Diagnosis, Economy Edition, PG Asian.